복부 초음파로 알 수 있는 것(질병) 검사 비용, 주기
복부 초음파 검사는 복부 내부 장기의 상태를 실시간 초음파 영상으로 확인하는 핵심 진단 검사입니다. 간, 담낭, 췌장, 비장, 신장 등 생명 유지에 중요한 장기 대부분을 대상으로 하며, 검사 과정이 간단하고, 방사선 노출 없이 비교적 저렴한 비용으로 병변을 일찍 발견할 수 있다는 점에서 예방 의료 측면에서 매우 중요한 도구입니다. 특히 우리나라 성인의 상당 비율에서 나타나는 지방간, 간수치 이상, 담석 등은 초기에는 자각 증상이 거의 없기 때문에 정기적인 복부 초음파 검사가 질병의 조기 진단과 예후 개선에 효과적입니다. 또한 급성 복통이나 옆구리 통증 등 응급 증상이 발생했을 때도 가장 먼저 시행되는 검사 중 하나로, CT 등 고비용 영상 검사로 이어지는 판단에도 중요한 기준이 됩니다.


아래에서는 복부 초음파로 알 수 있는 것, 검사 대상 장기별로 어떤 문제를 찾을 수 있는지, 실제 병원에서 부담해야 하는 비용과 보험 적용 여부, 그리고 개인 건강 상태에 따른 적정 검사 주기까지 체계적으로 정리해드립니다.
복부 초음파로 확인 가능한 장기와 검사 범위
복부 초음파는 복강 내 주요 장기를 전반적으로 확인합니다. 장기별 복부 초음파로 알 수 있는 것은 다음과 같습니다.
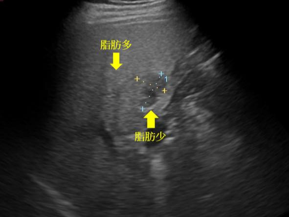
- 간: 형태 이상, 지방간 여부, 간경화 진행도, 종양, 낭종, 혈류 상태
- 담낭 및 담관: 담석, 담낭염, 담낭 용종, 담관 확장 여부
- 췌장: 췌장염, 췌장 종양, 췌관 확장, 지방 침윤
- 비장: 비장 비대, 종양, 감염 관련 이상
- 신장: 신장결석, 신장 기능 저하에 따른 형태 변화, 낭종, 종양, 수신증
- 복부 대동맥 등 주요 혈관: 동맥류, 혈류 장애
- 주변 림프절과 복부 연조직: 염증 및 전이 여부 판단
복부 초음파는 구조적 변화를 확인하는 데 특히 강점이 있으며, 혈액검사 결과만으로는 알 수 없는 실제 장기 상태를 평가하는 데 중요한 역할을 합니다.






진단 가능한 주요 복부 초음파로 알 수 있는 질병
복부 초음파는 검사 범위가 넓기 때문에 다양한 질환을 조기에 발견할 수 있습니다. 대표 초음파로 알 수 있는 질병을 장기별로 정리하면 다음과 같습니다.



간에서 확인 가능한 질환
- 지방간 및 비알코올 지방간염
- 간염으로 인한 간비대
- 간경화 및 문맥압 항진 증상
- 간암 의심 병변 및 양성 종양
- 간혈관종, 간낭종 등 낭성 병변
- 철분 축적 장애(혈색소증 등) 관련 변화
간암은 증상이 나타나면 이미 진행된 상태일 확률이 높아 조기 감시가 매우 중요합니다.

담낭 및 담도 질환
- 담석증(담낭결석·담관결석)
- 급성 및 만성 담낭염
- 담낭 용종(크기 변화 추적 필요)
- 담즙 정체, 담도 폐쇄
- 담낭암·담관암 의심 소견
담석은 성인 10명 중 1명 이상에서 발견될 정도로 흔하지만, 무증상 상태에서도 합병증 위험이 있어 주기적 검사 필요성이 강조됩니다.

췌장 질환
- 급성 췌장염 및 만성 췌장염 구조 변화
- 췌장 종양 및 낭성 병변
- 췌관 확장 여부
- 지방 침윤 증가
췌장은 해부학적으로 깊숙해 관찰이 제한적일 수 있으나 발견 즉시 정밀 촬영이 필요할 수 있는 고위험 장기입니다.



신장 및 요로 질환
- 신장결석 및 수신증
- 신장 종양(크기 및 성상 파악)
- 만성 콩팥병 형태 변화
- 감염 및 농양 가능성
혈뇨, 옆구리 통증이 있다면 반드시 신장 초음파 평가가 필요합니다.



비장 및 기타 질환
- 비장 비대(혈액암 또는 감염 의심)
- 혈류 장애에 따른 기능 변화
- 복부 대동맥류 등 치명적 응급질환
복부 대동맥류는 파열 시 생명을 위협하므로 조기 진단이 필수적입니다.



복부 초음파 검사 과정과 준비사항
검사는 매우 간단하며 기본적으로 다음 절차로 진행됩니다.
- 최소 6~8시간 공복 유지
- 진단실 침대에 누워 검사를 진행
- 복부 젤 도포 후 탐촉자로 장기 관찰
- 필요 시 옆으로 비스듬히 눕거나 숨을 참는 방식으로 시야 확보
공복이 중요한 이유는 담낭이 음식물 섭취로 수축할 수 있기 때문이며, 췌장 관찰에도 장내 가스가 적어야 유리합니다.



복부 초음파 검사 비용
검사 비용은 병원 종류, 검사 항목의 세부 구성, 건강보험 적용 여부에 따라 달라집니다. 주요 기준은 다음과 같습니다.
- 평균 비용: 100,000원~160,000원
- 상급종합병원: 150,000원~200,000원 내외
- 개인 실비보험: 통증·질환 의심으로 의사 권유 시 보험 청구 가능
- 종합검진센터: 패키지 항목 포함 시 개별 비용보다 저렴
초음파 검사임에도 정밀검사 항목(간·담낭·췌장 분리 촬영 등)에 따라 비용이 높아질 수 있으므로 사전 확인이 중요합니다.



복부 초음파 검사 주기
개인별 건강 상태, 위험 인자에 따라 적절한 주기가 다음과 같이 설정됩니다.
- 일반 성인: 1년 1회 건강검진 시 포함
- 지방간·고지혈증·비만 증후군: 6개월~1년 간격
- B형·C형 간염, 간경화 환자: 최소 6개월 간격 국가검진 권고
- 담낭 용종: 크기 변화에 따라 6개월~1년 추적
- 신장결석 재발 경험자: 증상 발생 시 즉시 검사
간암은 조기 발견 시 생존율이 크게 개선되기 때문에 고위험군 관리가 가장 중요한 항목입니다.



복부 초음파가 권장되는 사람
다음에 해당한다면 정기적 검사가 필수적입니다.
- 장기적 음주 습관 보유자
- B형·C형 간염 보균자
- 당뇨병, 이상지질혈증 환자
- 체질량지수(BMI) 25 이상 비만군
- 50세 이상 성인
- 가족 중 간암, 담낭암, 췌장암 병력
증상이 없어도 병변이 진행될 수 있으므로 조기 발견이 생명을 구할 수 있습니다.

복부 초음파의 장점과 한계
장점
- 방사선 노출 없음
- 통증 거의 없이 검사 진행 가능
- 저비용 대비 높은 진단 효율
- 재검사가 필요할 때 부담이 낮음
한계
- 종양의 성질(양성/악성) 판단에는 제한
- 비만 환자는 관찰 어려움 가능
- 췌장 전체 확인이 항상 가능하지 않음
따라서 필요 시 CT, MRI, 혈액검사와 결합한 종합적 평가가 이루어집니다.
결론


복부 초음파 검사는 복부 장기 전반을 안전하고 빠르게 확인할 수 있는 매우 실용적인 검사입니다. 특히 초기 증상이 미약한 간암, 지방간, 담석, 췌장질환 등을 조기에 발견할 수 있어 정기적인 검사만으로도 향후 치료 부담을 크게 줄일 수 있습니다. 비용 부담도 크지 않고, 건강보험 적용도 광범위하여 누구나 쉽게 받을 수 있으므로 건강검진 시 반드시 포함하는 것이 좋습니다. 앞으로 복부 통증, 소화불량, 피로가 지속되거나 혈액검사 수치 이상이 나타난다면 주저하지 말고 초음파 검사를 진행하시기 바랍니다. 나이가 들수록 복부 장기의 변화는 빨라지고 위험성도 커지기 때문에, 정기적인 복부 초음파는 건강을 지키는 가장 확실한 선제 대응 전략이라고 할 수 있습니다.
'건강정보' 카테고리의 다른 글
| 보건소 대상포진 예방접종 가격 정리 (0) | 2025.12.10 |
|---|---|
| 뇌경색전조증상 알아보기 (0) | 2025.12.10 |
| 심전도 검사로 알수있는병, 비용, 방법 (0) | 2025.12.09 |
| 보이차 효능과 부작용 (0) | 2025.12.08 |
| 타이레놀 효능 7가지 (0) | 2025.12.08 |